Case Presentation:
Glioblastoma Multiforme (GBM) - Case 7
History & Physical
-
69-year-old lady with progressive loss of cognition who became somnolent and was admitted to the hospital through the emergency room.
-
On examination, she was somnolent and would keep her eyes closed.
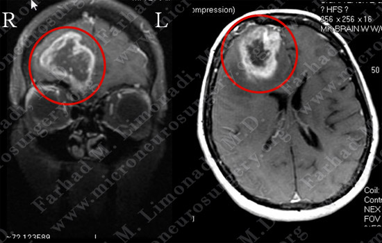
Imaging

MRI scan of the patient’s brain shows a large right frontal ring-enhancing tumor.
Computer Navigation



Computer navigation shows stereotactic mapping and approach to the tumor.
Surgical Procedure
-
She underwent right frontal craniotomy with gross total resection of tumor utilizing stereotactic and computer navigation, intraoperative neurophysiological monitoring including Brainstem auditory evoked response (BAER), Motor evoked potential (MEP), and Somatosensory evoked response (SSEP).

Tumor was removed in a gross total fashion.
Post-op Imaging


Post-op MRI shows complete resection of the tumor with no injury to surrounding neurovascular structures.
Post-op Course
-
The patient did well postoperatively and was neurologically completely intact. She returned to normal function and was discharged home.















